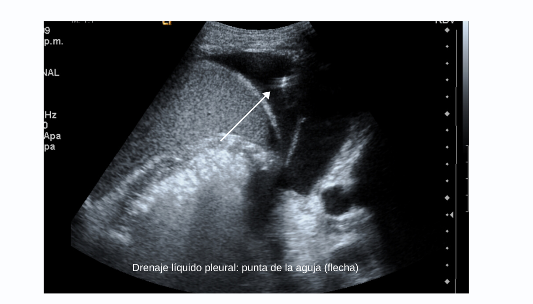
¿Cómo se ven algunos de los estudios que realizo?
En esta sección encontrarás una selección de imágenes que ilustran algunos estudios de Ultrasonido y Doppler realizados a mis pacientes. Ejemplos de precisión, calidad y compromiso con el diagnóstico oportuno y confiable.






